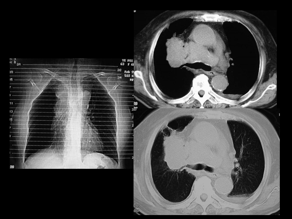
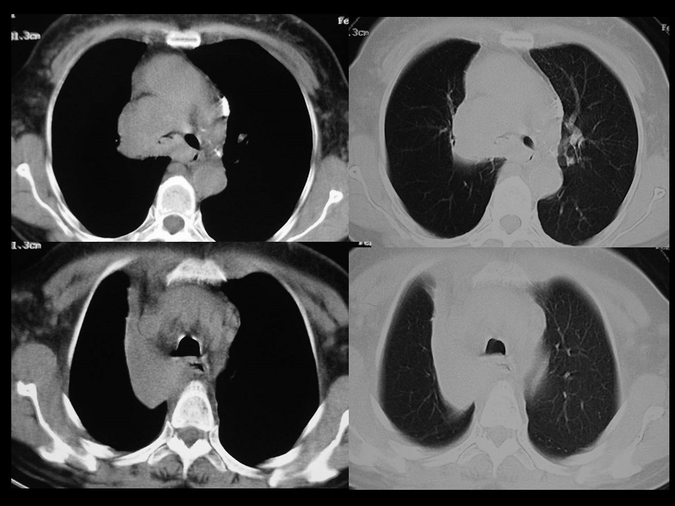
“肺癌的CT诊断PPT” 的相关文章
ICU进修汇报PPT
ICU进修汇报PPT 首先感谢护理部及科室领导给我这次学习机会,使我有幸在省立医院南区ICU进行为期3个月的学习,在此期间我开阔了视野,增长了见识,学习了先进的仪器设备,和各项护理技术,也学习了他们严谨的工作作风及科学的工作方法,现将学习的所见所得汇报如下。...
产科超声诊断PPT
产科超声诊断PPT一、妊娠解剖生理二、正常产科超声诊断三、常规检查步骤及方法四、超声留图建议五、中晚孕超声检查规范图...
常用外科器械及器械护士常用操作技术
常用外科器械及器械护士常用操作技术熟悉常用外科手术器械的名称及用法熟悉器械护士常用操作技术掌握器械传递原则通过练习,能够较熟练地完成器械护士常用操作技术...
如何当好一名护理带教老师PPT
如何当好一名护理带教老师PPT 临床实习是护生理论联系实际,变知识为技能的必须过程,是护士教育的一个非常重要的环节,是她们踏上工作岗位前最直观最有效的学习阶段,从理论走向实际,从课堂走向病房,从学校走向社会的关键环节和实现理论知识转化为工作能力不可缺少的过程,所...
手术室护理安全隐患及防范措施
手术室护理安全隐患及防范措施 1发错药 2打错针 3输错血 4拍错片 5错报或漏报辅助检查结果 6开错手术部位 7将手术器械或纱布等异味遗留在体内 8擅离职守 9不严格执行消毒隔离和无菌操作规程 ...
手术室护理实践指南手术物品清点
手术室护理实践指南手术物品清点2.1手术清点物品手术清点物品包括手术敷料、手术器械、手术特殊物品。2.2手术敷料手术敷料指用于吸收液体、保护组织、压迫止血或牵引组织的纺织物品。包括纱布、纱垫、纱条、宫纱、消毒垫、脑棉片、棉签等。2.3手术器械手术器械指用于执行切割、剥离、抓取、牵拉、缝合等特定功能的...
