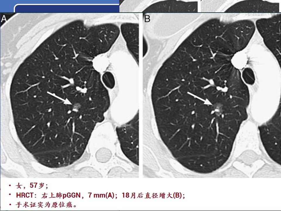
“肺磨玻璃结节的诊断与临床处理策略PPT” 的相关文章
方剂及方剂学的概念
方剂及方剂学的概念...
ERAS在普外科中的应用和实施
ERAS在普外科中的应用和实施 ERAS概述ERAS应用获益和实施ERAS在中国的应用现状...
等级医院评审应急预案演练
等级医院评审应急预案演练应急预案是针对具体设备、设施、场所和环境,在安全评价的基础上,为降低事故造成的人身、财产与环境损失,就事故发生后的应急救援机构和人员,应急救援的设备、设施、条件和环境,行动的步骤和纲领,控制事故发展的方法和程序等,预先做出的科学而有效的计划和安排。简单来说应急预案指发生紧急事...
弱视的诊断与处理PPT
弱视的诊断与处理PPT新生儿:出生到1星期0.01-0.02;1个月0.05-0.12个月:有辐辏反应3个月:大多可平稳“跟随”,固视4个月:开始建立立体视3-4个月:调节已发育良好1岁:0.1-0.32-3岁:0.5,3岁时立体视建立基本完成4-5岁:0.6 5-6岁:0.8...
食道癌的新进展 PPT
食道癌的新进展 PPT在世界范围内恶性肿瘤中发病率居第8位 死亡率居各种癌症的第6位影响着全世界450000人发病率还在快速上升美国政府每年要花费大约11亿美金用于治疗超过30000名食道癌患者...
手术室输血输液安全教育
手术室输血输液安全教育输血前准备输血前认真查对输血器的应用成分输血的安全输血不良反应的观察输血不良反应的现象及急救措施输血过程中的观察要点...

