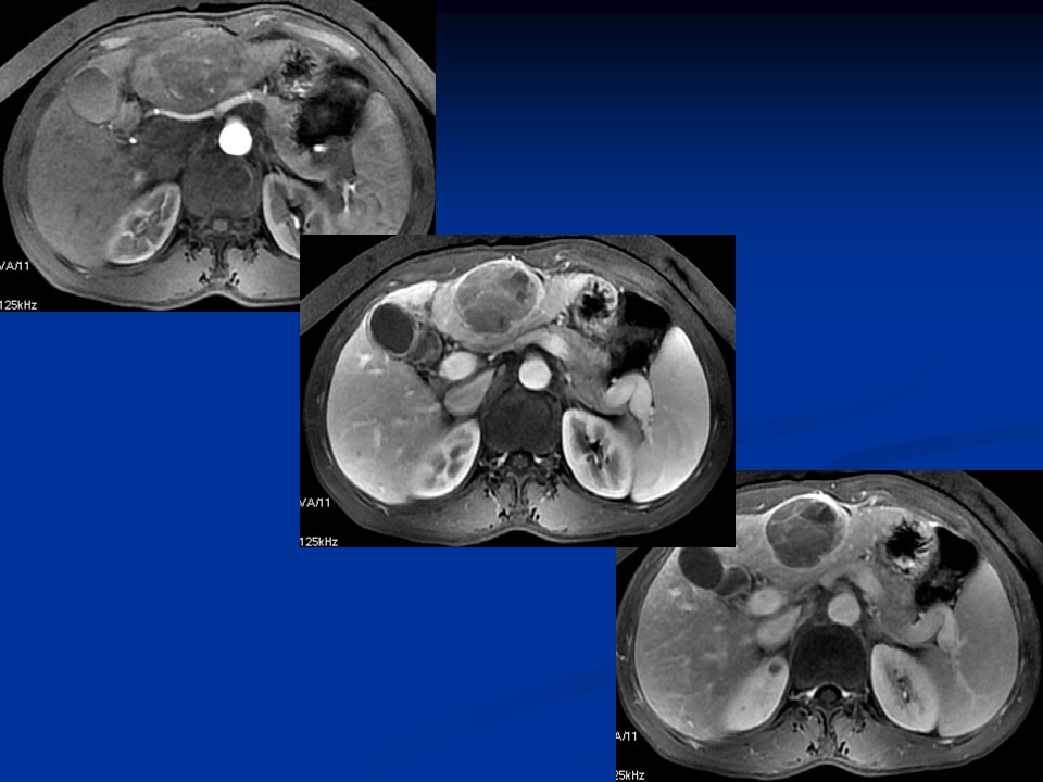
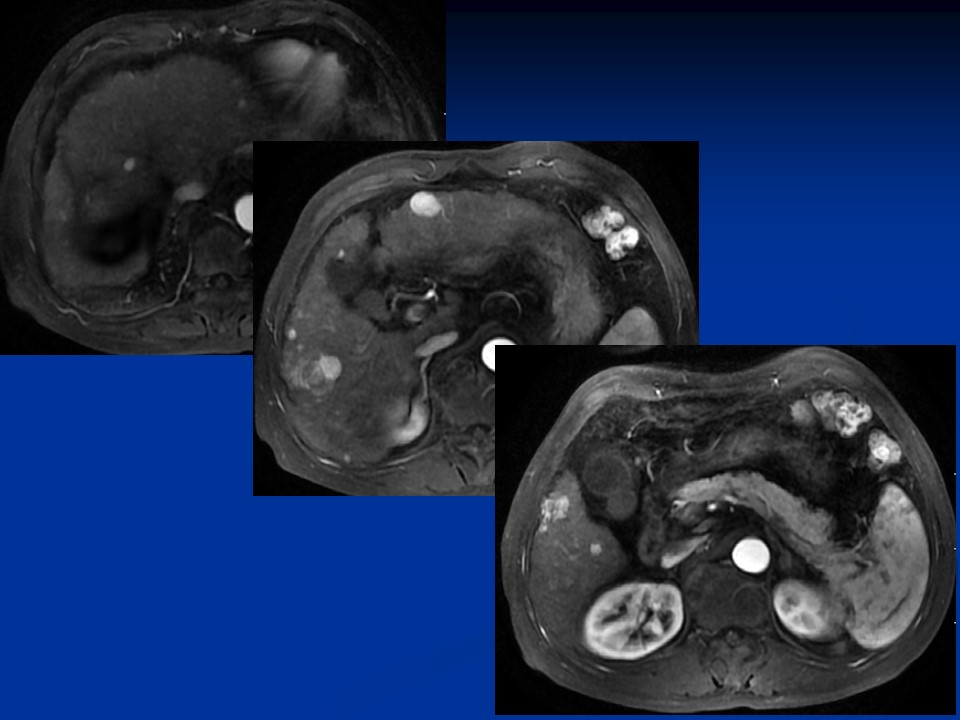
“肝脏病变的MR诊断PPT” 的相关文章
口腔基础知识PPT
口腔基础知识PPT口腔学科简介科室规章制度口腔内科基础知识口腔常见病、临床操作器械出科考试要求...
手术室护士职业危害与防护PPT
手术室护士职业危害与防护PPT护理职业防护:在护理工作中采取多种有效措施,保护护士免受职业损伤因素的侵袭,或将其所受伤害降到最低。标准预防:认定病人的血液、体液、分泌物、排泄物均具有传染性,需进行隔离,不论是否有明显的血迹污染或是否接触非完整的皮肤与粘膜,接触上述物质者必须采取防护措施。针刺伤:指一...
手术室全期护理
手术室全期护理 手术是临床外科系统治疗疾病的一种重要手段,手术室围手术期护理工作包括从病人决定手术入院、接受手术以及麻醉苏醒后直至病人出院的全过程。手术室护理工作不仅仅局限在手术室内,它延伸到手术前后的护理。在此期间,护...
手术室相关法律法规
手术室相关法律法规手术室是医院的一个重要部门,集急、危、重症患者于一体,随着外科高、新、难手术的开展,手术室护理人员工作任务繁重,劳动强度大,所担负的风险系数也越来越高。 ...
外科手消毒
外科手消毒是指外科手术前医务人员用肥皂(皂液)、洗手液和流动水洗手,再用手消毒剂清除或杀灭手部暂居菌和减少常居菌的过程。使用的手消毒剂可具有持续抗菌活性。...
心胸外科常见疾病概述
心胸外科常见疾病概述一、心血管外科疾病 1、先天性心脏病 2、瓣膜病 3、冠心病 4、大血管疾病 5、心包疾病二、普胸疾病 1、胸壁疾病 2、纵隔疾病 3、食管疾病 4、肺疾病 ...
