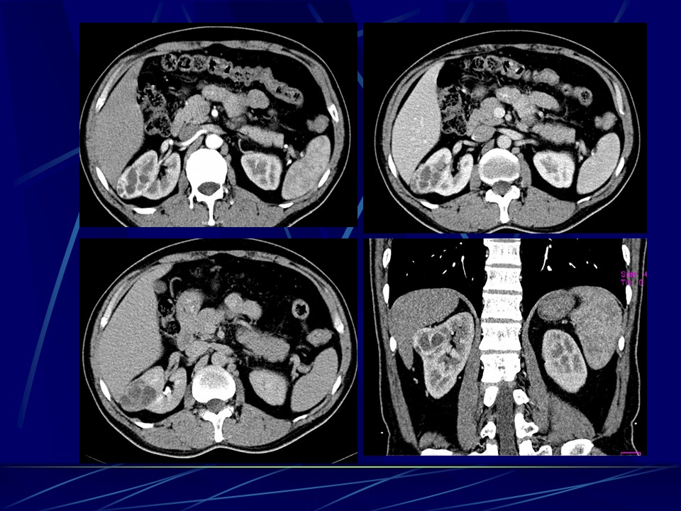
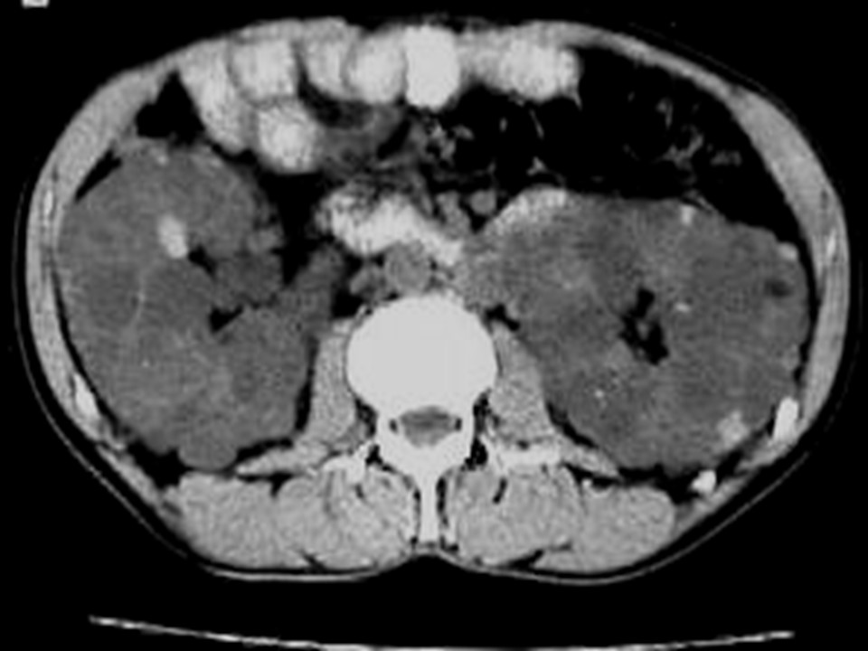
“泌尿系统疾病CT诊断PPT” 的相关文章
胆管癌外科治疗的实践和存在问题的探讨
胆管癌外科治疗的实践和存在问题的探讨Biliary duct cancer / Cholangiocarcinoma定义:发生于肝外胆管(含左右肝管主干至胆总管下端)恶性肿瘤的总称。不包括肝内胆管癌、肝脏胆管细胞癌、胆囊癌、乏特壶腹癌。 发生部位: 上段胆管癌...
品管圈圈徽大全PPT
品管圈圈徽大全PPT...
手术室护士对手术患者的心理护理
手术室护士对手术患者的心理护理 手术患者的心理主要表现为:紧张,焦虑,担忧和恐惧。有些手术患者往往处于高度紧张、焦虑、恐惧不安等不良情绪之中,这些不良情绪直接引起体温、脉搏、呼吸、血压等生命体征的变化,如果过于强烈,会直接干扰手术和麻醉的顺利实施。...
手术室实习生教学培训
手术室实习生教学培训 洁净手术部工程是由多学科、多系统、多功能组成的系统工程。改变了多年来手术室内空气消毒的方法,代之以初效、中效、高效过滤器的物理净化方式,使手术间内压力、温度、湿度、风速得到有效控制。不同净化等级手术室,采用智能控制,使手术室空气质量得到了极大改善,...
糖尿病的药物治疗PPT
糖尿病的药物治疗PPT糖尿病的饮食治疗糖尿病的运动治疗糖尿病的药物治疗糖尿病的自我监测糖尿病的宣传教育...
心理咨询和心理治疗PPT
心理咨询和心理治疗PPT 心理咨询是专业人员运用心理原理和技术来帮助有心理困扰的来访者自助的人际过程。...
