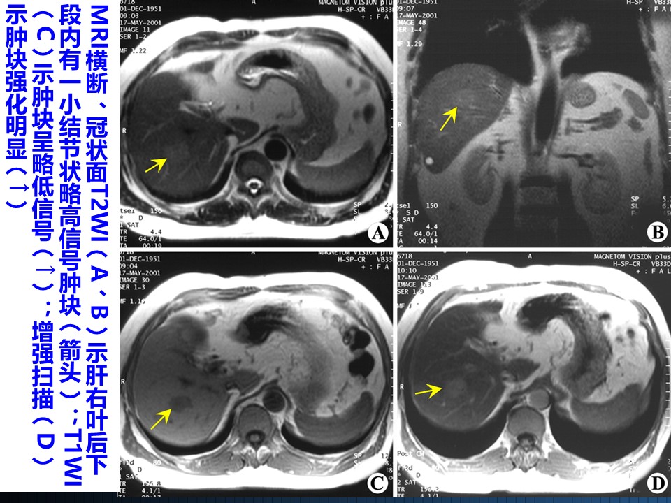
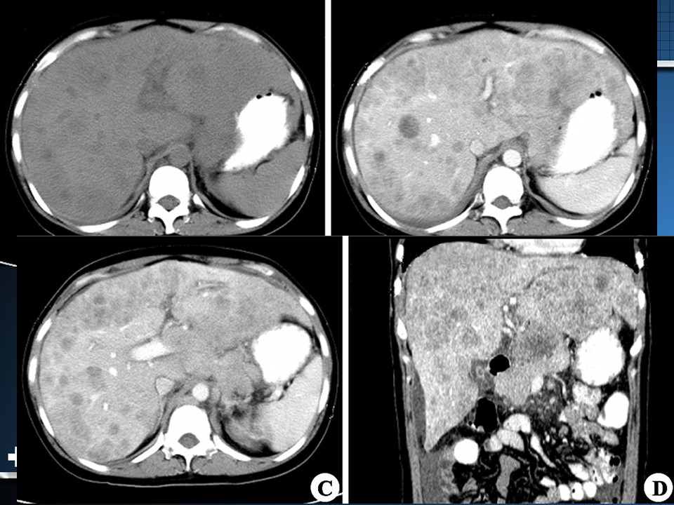
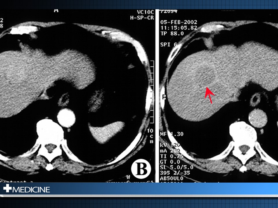
“原发性肝癌PPT” 的相关文章
儿童常见呼吸道疾病雾化吸入治疗专家共识PPT
儿童常见呼吸道疾病雾化吸入治疗专家共识PPT 目前关于雾化吸入治疗的用药方案以及药物配伍的信息非常有限。近期美国发表的常用雾化吸入药物混合配伍指南采用了易于使用的表格形式,为临床提供了可供雾化吸入的药物及其配伍的各种参考信息。&nb...
弱视的诊断与处理PPT
弱视的诊断与处理PPT新生儿:出生到1星期0.01-0.02;1个月0.05-0.12个月:有辐辏反应3个月:大多可平稳“跟随”,固视4个月:开始建立立体视3-4个月:调节已发育良好1岁:0.1-0.32-3岁:0.5,3岁时立体视建立基本完成4-5岁:0.6 5-6岁:0.8...
肾病与营养治疗PPT
肾病与营养治疗PPT肾小球由特殊的毛细血管网组成,被肾小囊包围。多孔内皮细胞层基膜层上皮细胞层原尿在这形成。这三层结构使肾小球具有超滤功能的滤过屏障,其表面带负电荷可阻止带负电荷的大分子物质滤出...
手术患者安全管理
手术患者安全管理术中低体温预防手术患者转运交接术中输血护理操作手术标本管理手术室火灾应急预案...
手术室急危重患者的抢救与配合
手术室急危重患者的抢救与配合 手术室是外科手术治疗的一个重要科室,手术室工作的护理实施直接影响到手术病人的医疗保健水准 ;医院手术室在医院临床医疗及抢救过程中具有特殊的重要作用,因此手术室护士的急救意识在急救过程中就显得尤为重要。 ...
痛风的药物治疗PPT
痛风的药物治疗PPT 随着居民生活水平的不断提高和生活方式的变化, 痛风的发病率逐年升高。除此之外,痛风的发生还与遗传和环境因素密切相关… …...
