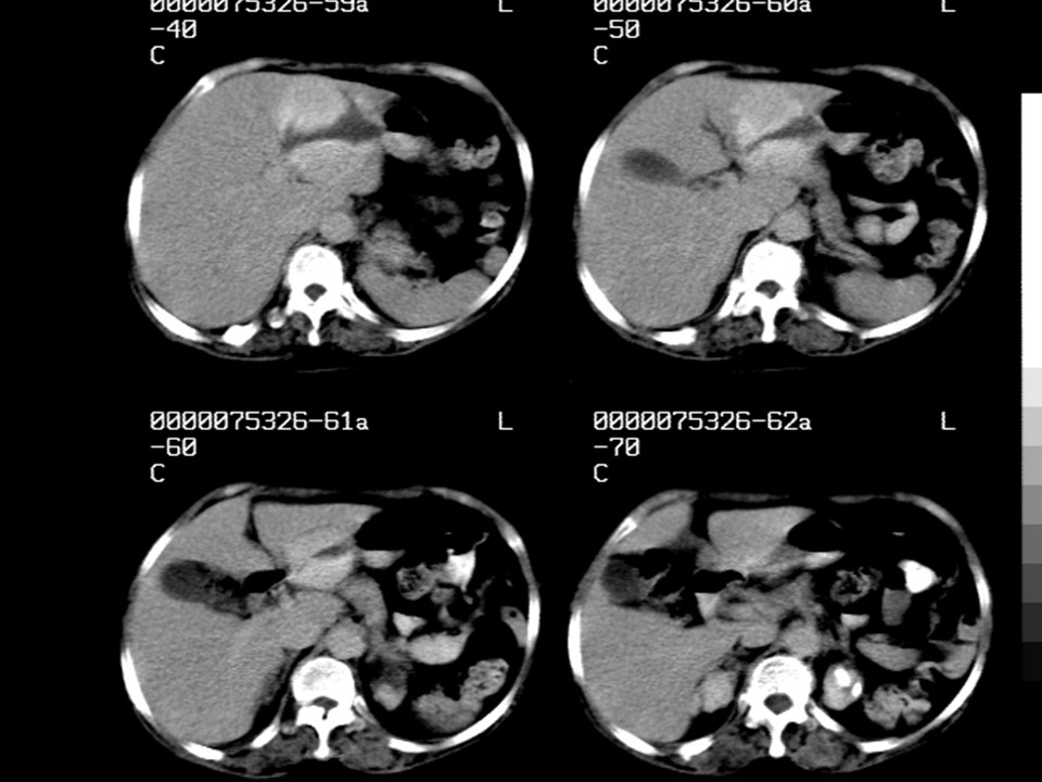
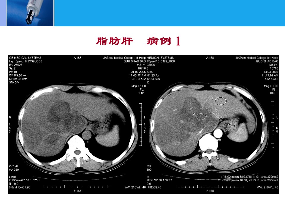
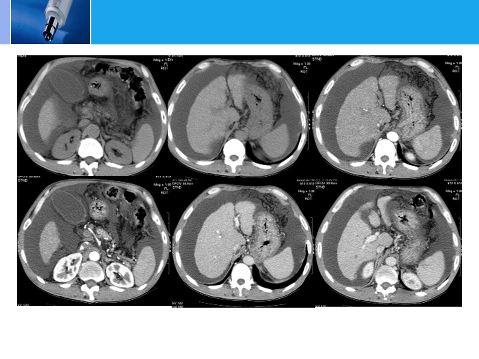
“肝脏的CT影像诊断(最全版)PPT” 的相关文章
高血压知识讲座PPT
高血压知识讲座PPT是一种以血压升高为主要临床表现但病因不明确的独立性疾病,占总共高血压的90%,由于动脉血管硬化,血管调节中枢异常所造成的动脉压持续升高 。...
泌尿外科手术配合
泌尿外科手术配合泌尿外科手术器械配置泌尿外科器械的构造及故障部分仪器的安全使用常见手术的配合要点...
肾内科入科须知PPT
肾内科入科须知PPT遵守工作纪律,不迟到不早退。保持和谐的医患关系。与病人及家属充分交流,使病人了解诊断、治疗情况和预后。按照肾内科诊疗常规要求进行各种操作和特殊用药前的谈话,记录和术前准备。...
肾内科知识汇总PPT
肾内科知识汇总PPT一、微小病变性肾病二、局灶性节段性肾小球肾炎三、弥漫性肾小球肾炎 (一)膜性肾病 (二)增生性肾炎 1、系膜增生性肾小球肾炎:IgA 肾病和非IgA 沉积为主 2、毛细血管内增生性肾小球肾炎 3、系膜毛细血管性肾小球肾炎(膜增生性肾小球肾炎Ⅰ、Ⅲ型) 4、致密沉积物性肾小...
手术室不良事件的防范措施
手术室不良事件的防范措施护理不良事件是指: 不在计划中的、未预计到的或通常不 希望发生的事件,常称为护理差错或 护理事故...
手术室管道管理
手术室管道管理 目前临床常用的管道有很多,它们分别具有不同的功能,常作为治疗和观察病情的手段和判断预后的依据。作为临床护士,必须要做到管理好这些管道,使其各置其位,各司其责。护理的准确与否,直接关系到疾病的转归乃至患者生命。...
