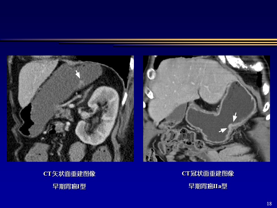
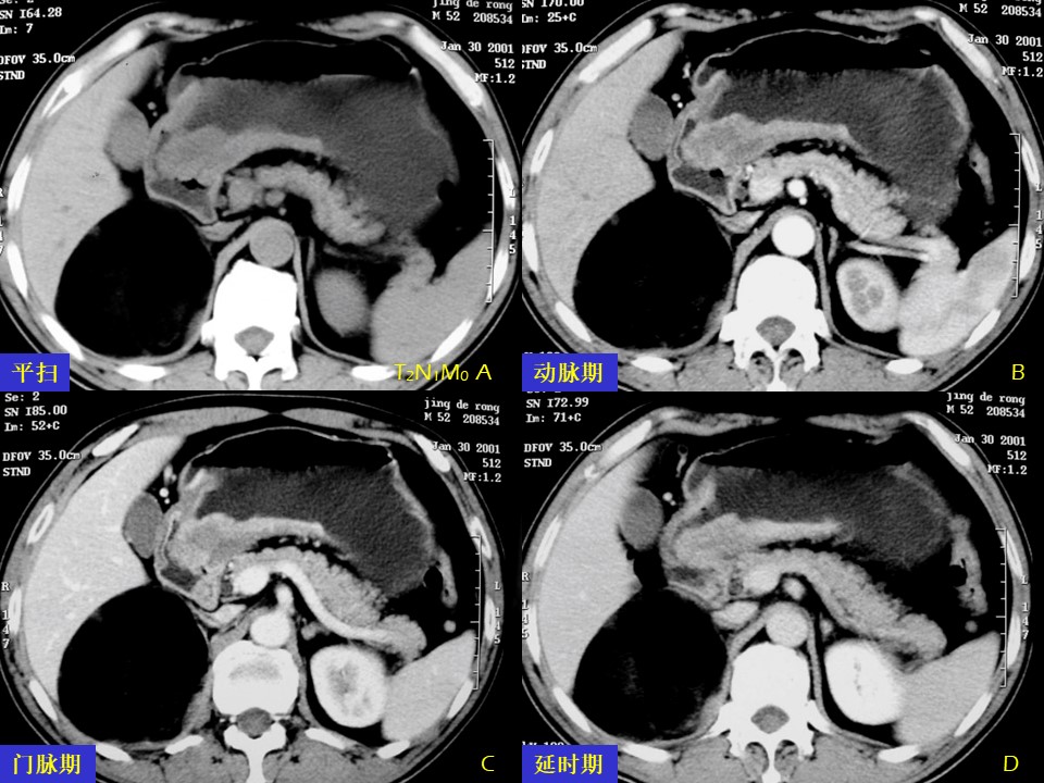
“胃癌的CT检查和分期” 的相关文章
多根静脉延长管分类固定技巧
多根静脉延长管分类固定技巧 心外科ICU 的病人病情危重,常常由于治疗需要,需经静脉泵入多种药物,这时在微量泵与静脉穿刺针之间就会有多根散在的延长管,周边加上病人监护仪的连接线、呼吸机管道、输液管道、引流管等,显得十分杂乱且不安全。患者翻身,坐起时导管容易下坠,有导管滑脱的...
儿科氧气疗法PPT
儿科氧气疗法PPT氧是维持人类生命所必需的物质,但人体内氧的贮备极少。人体代谢所需的氧靠呼吸器官不断地从空气中摄取,并借助循环系统和血液系统的功能运往全身的器官和组织。故缺氧可导致体内的代谢异常和生理功能紊乱,严重者可致使重要的脏器组织损伤和功能障碍,甚至危及生命。...
消化内科常用药PPT
消化内科常用药PPT铝碳酸镁硫糖铝胶体果胶铋碳酸氢钠必奇得舒特熊去氧胆酸...
肿瘤免疫治疗的热点分析与冷静思考PPT
肿瘤免疫治疗的热点分析与冷静思考PPT某些类型肿瘤中,免疫细胞 (如T细胞) 存在,则临床预后较好.1–3晚期少转移征象少生存期延长复发风险下降当免疫系统受抑,某些类型肿瘤的发生风险增加.HIV患者4免疫抑制剂治疗的器官移植患者5...
产科正常分娩机制PPT
产科正常分娩机制PPT妊娠满28周(196日)及以上,胎儿及其附属物自临产开始到由母体娩出的全过程,称为分娩。...
常见胸部外伤的诊断与治疗PPT
常见胸部外伤的诊断与治疗PPT1、密闭 2、负压: 正常压力,在吸气时为-8~-10cmH2O 呼气时为-3~-5cmH2O...
